Icono cerrar

PIRADS v2.1 (2/3): Interpretación e informe

7/07/22 | 4681

Autor/a

Monica Mosquera Souto

Hospital Universitario Quirónsalud Madrid

Objetivo

PIRADS v2.1 e interpretación básica de los hallazgos en RM prostática.

Metodología

Revisión del PIRADS v2.1 parte 3/3: taller de casos prácticos.

Descripción

 

En este contenido, hablaremos sobre el PIRADS v2.1 y de la interpretación básica de los hallazgos en RM prostática. Esta clasificación plantea un lenguaje homogéneo y estandarizado con el que mejorar la comunicación multidisciplinar y mejorar el resultado final del paciente.

Presenta 5 categorías de sospecha, desde el 1 (muy baja probabilidad de cáncer clínicamente significativo) hasta un 5 (muy alta probabilidad), y se gradúa mediante la interpretación de las secuencias de RM (T2, DWI-ADC y DCE).

Así mismo, la importancia del PIRADS radica en la posibilidad de aportar un lenguaje homogéneo con el que mejorar la comunicación multidisciplinar y crear una estandarización para mejorar el resultado final del paciente. Para ello, se busca aportar calidad y facilitar la investigación, entre otros.

Secuencias

Con la secuencia T1 valoraremos Hemorragia y estadiaje locorregional (adenopatías y lesiones óseas).

Por otro lado, con el T2, se valorará la anatomía y el estadiaje local. Esta se trata de la secuencia principal para valorar la zona transicional. Con la Difusión obtenemos información sobre la celularidad. Se trata de la secuencia principal en zona periférica. Así mismo, el estudio dinámico nos aporta información sobre la angiogénesis. Es de importancia en la zona periférica.

Informe

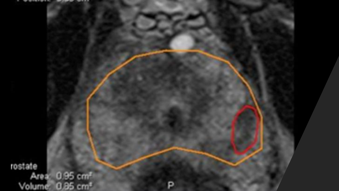
En el informe se ha de incluir si las hay hasta 4 lesiones de PIRADS 3,4, y 5, con sus respectivas localizaciones.

Por otro lado, nombraremos la lesión principal, que es la que aporta el PIRADS global. Sin embargo, en el caso de que existieran dos lesiones con el mismo PIRADS, la principal será la que tenga extensión extraprostática; y si ninguna tiene, la más grande será la principal.

Las secuencias ideales en las que medir las lesiones serán las dominantes de cada zona (DWI-ADC en zona periférica y T2 en transicional). En cualquier caso, se pueden medir en la secuencia donde mejor se vea la lesión, indicándolo en nuestro informe.

Volumen prostático

El Volumen Prostático podemos medirlo tanto de manera manual como automática. Para ello, usaremos la Fórmula elipsoide, la cual se calcula multiplicando la dimensión máxima de la lesión medida en AP multiplicada por la longitudinal, ambas medidas en T2 sagital, multiplicado por la dimensión máxima transversal medida en T2 axial y multiplicada por 0,52. También podemos añadir la Densidad del PSA en nuestro informe, la cual se calcula dividiendo el valor del PSA entre el volumen prostático, en ng/ml2.

Conclusiones

La nueva clasificación PIRADS v2.1 permite una mejor caracterización tanto de las lesiones de la zona de transición como en las de la zona periférica. Por otro lado, la RM multiparamétrica es una herramienta indispensable para el estudio del carcinoma prostático, que permite localizar lesiones sospechosas antes de realizar una biopsia y tras una biopsia negativa.

Conoce más contenidos relacionados en la Comunidad de Cáncer de Próstata:

  1. RM de próstata: cómo hacer el informe estructurado PI-RADS, por el Dr. Kai Vilanova.

  2. Seguimiento del paciente en el cáncer de próstata, por el Dr. Enrique Sánchez Aparicio 

Suscribir
Notificar a
0 Comentarios
Inline Feedbacks
View all comments